இங்கிலாந்தில் தம்பதியினர் ஒருவர் தங்களது நான்கு மாத குழந்தையின் 28 எலும்புகளை உடைத்த குற்றத்திற்காக 8 வருட சிறை தண்டனை பெற்றுள்ளனர்.
இங்கிலாந்து நாட்டின் கிழக்கு சக்செஸ் பகுதியை சேர்ந்த அலெக்ஸாண்ட்ரா கோபின்ஸ்கா, மற்றும் ஜேன்ட்ஸெசாக் என்ற தம்பதியினருக்கு ஆண் குழந்தை இருந்துள்ளது.
இந்நிலையில் இருவரும் வேலை இல்லாமல் கடும் விரக்தியில் இருந்துள்ளனர். இருவருக்கும் இடையில் அடிக்கடி சண்டை ஏற்படும் நிலையில். ஒருவரை ஒருவர் தாக்கி கொள்வதற்கு பதிலாக தங்களின் நான்கு மாத குழந்தையின் எலும்புகளை உடைத்துள்ளனர்.
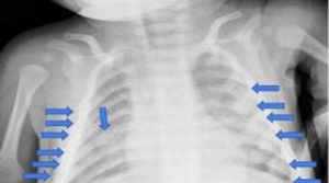
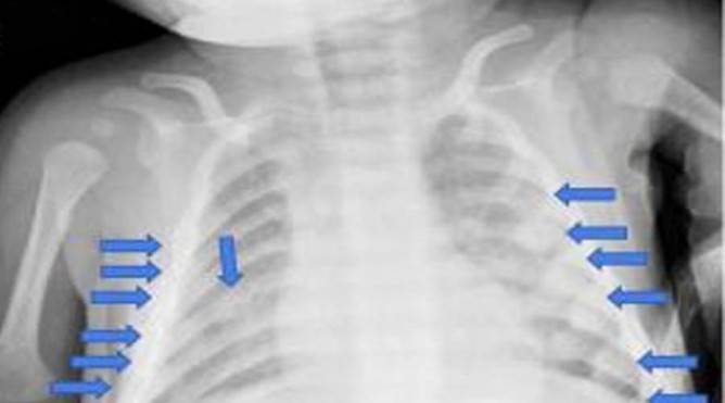
வலியில் தொடர்ந்து துடித்து கொண்டிருந்த குழந்தையின் கை எலும்பு உடைந்துள்ளதாக கடந்த 2017 ஆம் ஆண்டு மருத்துவமனையில் அத்தம்பதியினர் சேர்த்துள்ளனர்.
இந்நிலையில் குழந்தையை சோதனை செய்த மருத்துவர்கள் குழந்தை கடுமையாக தாக்கப்பட்டுள்ளது என்றும், தோள்பட்டை, கை, கால் என்று குழந்தையின் 28 எலும்புகள் உடைக்கப்பட்டுள்ளது என்றும் தெரிவித்தனர்.
இங்கிலாந்து நாட்டில் குழந்தை பாதுகாப்பு சட்டம் கடுமையாக இருப்பதால். மருத்துவமனை நிர்வாகம் சார்பாக பொலிசாருக்கு தகவல் கொடுக்கப்பட்டது.
பொலிசார் அலெக்ஸாண்ட்ரா கோபின்ஸ்கா, மற்றும் ஜேன்ட்ஸெசாக் தம்பதியினர் மீது வழக்கு பதிவு செய்து விசாரணை மேற்கொண்டனர்.
முதலில் குழந்தையின் கையை மட்டு உடைத்ததாக ஜேன்ட்ஸெசாக் ஒப்பு கொண்டார். ஆனால் அலெக்ஸாண்ட்ரா கோபின்ஸ்கா தனது குற்றத்தை ஒப்பு கொள்ளவில்லை. பின்னர் இருவரும் குற்றத்தை ஒப்பு கொண்டனர்.
குழந்தையை கடுமையாக வாட்டியதாக அவர்களுக்கு சக்செஸ் நீதிமன்றத்தில் தற்போது 8 ஆண்டு சிறை தண்டனை விதித்து தீர்ப்பு வழங்கப்பட்டுள்ளது.
குழந்தை தற்போது பராமரிப்பு மையத்தில் பொலிசார் உதவியுடன் பாதுகாப்பாக வளர்க்கப்பட்டு வருகின்றது.






